Docteur Christian Chatot
Diplômé de la Faculté de Chirurgie-Dentaire de Strasbourg
DIU Implantologie Orale Nancy et Lyon

"Fort de mon expérience, je regarde toujours avec une vision globale la conception et la mise en œuvre d'un plan de traitement restaurateur fonctionnel et esthétique"
Consultation
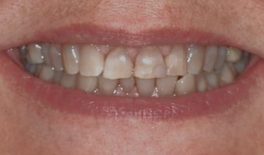
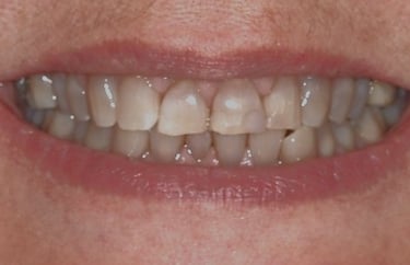
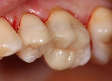
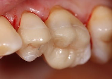
Une approche de soin global avec un résultat fonctionnel et esthétique avec l'aide des matériaux et technologies modernes.















