Docteur Pierre-Jean Lichtlé
Dentisterie esthétique et soins personnalisés,
pour un sourire qui vous ressemble.
Diplômé de la Faculté de Chirurgie-Dentaire de Strasbourg
DU Implantologie Orale Dijon
CES Parodontologie Strasbourg

"Un sourire harmonieux est le reflet d’un équilibre entre santé, fonction et beauté."
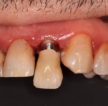
Ma démarche est tournée vers la préservation des tissus dentaires, pour que vous puissiez conserver vos précieuses dents le plus longtemps possible.
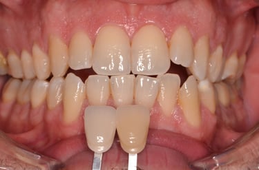
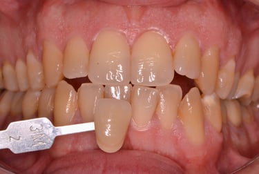
Une évaluation approfondie pour comprendre vos besoins et attentes en matière de dentisterie.
Consultation
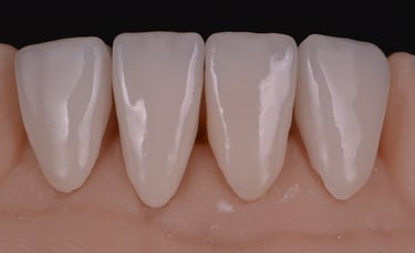
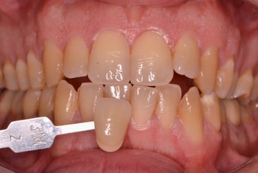
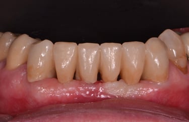
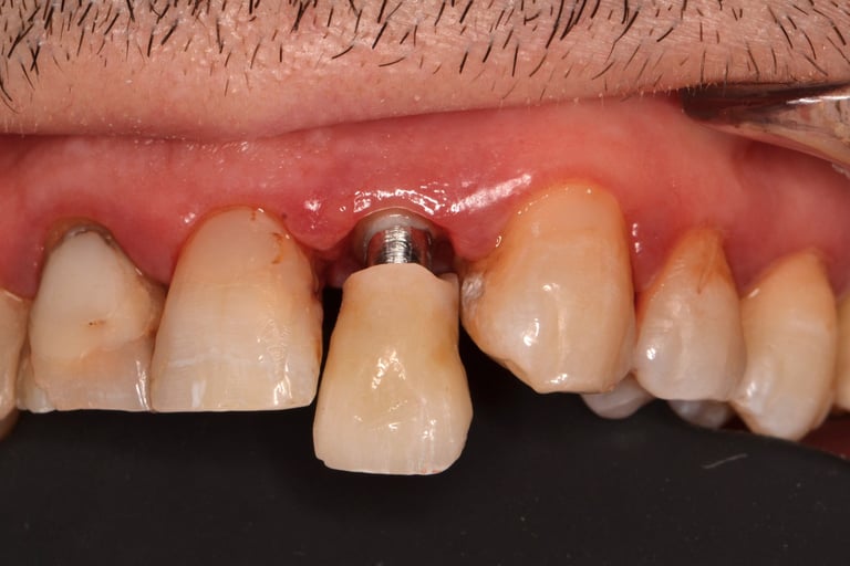
Photographie clinique - Dr. Lichtlé
L'art du sourire sur mesure.





