Cabinet Dentaire MULHOUSE, 96 avenue d'Altkirch 68100 MULHOUSE, Pôle santé du Hasenrain
Informations générales
Bien préparer sa consultation
Avant son rendez-vous, brossez-vous soigneusement les dents.
Apportez les données médicales vous concernant : liste des médicaments en cours ou ordonnance, nom et coordonnées de votre médecin traitant.
Notez toutes les questions et éléments à signaler à votre Chirurgien-Dentiste.
Prenez toujours avec vous les prothèses, gouttières et autres dispositifs dentaires en votre possession lorsque vous consultez.
Et n'oubliez pas d'emporter avec vous la carte Vitale à jour.

Les reconstitutions en céramique
Il existe toute une panoplie d'éléments en céramique qui permettent de remplacer tout ou une partie d'une dent.
En effet, une dent peut être cariée, cassée ou présenter d'anciennes restaurations infiltrées. Selon la forme de l'élément en céramique, on lui donne le nom de : "inlay" / "onlay" / "overlay" / "facette" ou "couronne".
L'avantage principal d'une reconstitution en céramique collée, c'est qu'elle remplace uniquement le volume de la dent à réparer, sans préparation excessive.
Cela préserve au maximum les éléments de la dent et vient remplacer le volume manquant par un élément biocompatible et durable.
Inlays / Onlays / Overlays
Facettes
Couronnes
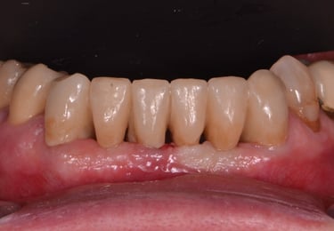
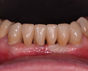
Les prothèses
Lorsqu'une dent doit être enlevée ou qu'il vous manque une dent, différents types de prothèses peuvent vous être proposés.
" Nos dents fonctionnent comme un ensemble solidaire, réparti entre les deux mâchoires, où chaque élément contribue à la stabilité de l’ensemble. Lorsqu’une dent disparaît, l’équilibre se rompt et, avec le temps, des désordres en chaîne peuvent apparaître."
Ce qu'il se passe lorsqu'on laisse un espace vide
Les prothèses fixées (bridges)
Il s'agit d'un système reposant sur les dents adjacentes à la dent à remplacer.
Elles nécessitent la préparation de ces dents pour sa mise en place.
Les prothèses amovibles
Les prothèses amovibles permettent dans la grande majorité des cas de remplacer un nombre important de dents absentes.
Elles peuvent être partielles et s'appuyer sur des dents restantes ou complètes en cas d'édentement total.
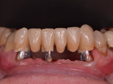
Les prothèses sur implants
Il s'agit de la meilleure option pour reproduire l'effet d'une dent, et ce, sans toucher aux dents environnantes.
Il est également possible de poser un système de prothèse complète implanto-porté à partir de 2 à 6 implants par arcade selon les cas.


Par quoi remplacer ?
Il existe plusieurs types de prothèse pour remplacer une dent absente :
Pourquoi agir tôt ?
Plus on intervient rapidement, plus il est simple de :
Retentissement esthétique et social
Un “trou” dans le sourire peut être vécu comme gênant, et donner une impression de négligence ou de vieillissement prématuré.
Troubles fonctionnels
Douleurs ou craquements des articulations temporo‑mandibulaires, risque d’installer une habitude de serrage ou de grincement (bruxisme).
Impact possible sur la phonation et, indirectement, sur la digestion si la mastication est moins efficace.
Atteintes des gencives et du support osseux
Les migrations dentaires créent des zones de rétention de plaque, favorisant l’inflammation gingivale et les caries.
L’os qui entourait la racine non remplacée se résorbe progressivement, compliquant les traitements futurs.
Perte d’efficacité masticatoire
Mastiquer devient plus difficile du côté concerné, ce qui reporte tout l’effort sur l’autre côté.
À terme, on peut observer des surcharges et une usure prématurée des dents restantes.
Déplacements des dents voisines
Les dents adjacentes ont tendance à se pencher vers l’édentement pour combler le vide.
La dent située en face (sur l’arcade opposée) peut “descendre” ou “remonter” dans l’espace, faute de contact, jusqu’à sortir de son axe fonctionnel.
maintenir l’alignement des dents,
préserver l’os et la gencive,
retrouver une mastication confortable,
éviter des traitements plus lourds à long terme.
Le système d'orthodontie par aligneurs transparents
Il s'agit d'un dispositif amovible et transparent qui repose sur les dents des deux arcades et qui permettent de repositionner des dents.
Le traitement consiste à planifier la position adéquate de chacune de vos dents, pour parfaire l'alignement, les contacts entre les dents donc par extension, votre sourire et votre fonction. Nous utilisons la numérisation 3D associé à un logiciel spécifique pour cela.
Nous vous montrerons ensuite les déplacements dentaires attendus avant de valider ensemble la démarche.
Une série d'aligneurs sur mesure est alors commandée et le traitement peut alors commencer. Vous porterez vos aligneurs 22h/24, il faudra les enlever uniquement pour manger. La durée du traitement est en général comprise entre 9 et 18 mois.
Le déplacement dentaire s'effectue tout en douceur et sans douleur. Un suivi bien régulier sera programmé avec votre Chirurgien-Dentiste.








L'éclaircissement dentaire


Pour la réalisation d'un traitement dentaire par éclaircissement, nous procéderons tout d'abord à un bilan diagnostic. En effet, plusieurs éléments peuvent être à l'origine de dents dyschromiées (jaunissement / noircissement).
Ensuite, au cas par cas, nous élaborerons le protocole adéquat et nous vous fournirons tout le matériel ainsi que les informations nécessaires à sa mise en oeuvre.
Les douleurs à la mâchoire
Un grand nombre de personnes peuvent présenter à un moment de leur vie des douleurs situées au niveau de l'articulation de la mâchoire.
Ces douleurs peuvent provenir des tensions au niveau des muscles situés dans les joues ou provenir directement de l'articulation de la mâchoire localisée juste en avant des oreilles.
Ces douleurs peuvent parfois être à l'origine de migraines, d'acouphènes, de craquements, de blocages bouche ouverte ou bouche fermée.
Si vous en souffrez, vous pouvez consulter votre Chirurgien-Dentiste pour comprendre quelle est l'origine de cette douleur et connaître la démarche à suivre. Dans de nombreux cas, il s'agira d'avoir recours à un kinésithérapeute spécialisé en kinésithérapie maxillo-faciale.


En savoir plus : https://atm-guide.fr/douleur-blocage-bruit-de-la-machoire/
Pour aller plus loin
Autres ressources
Contact
Pour toute question ou prise de rendez-vous, n'hésitez pas à nous contacter.
© 2025. All rights reserved.
Dr. Peyronnet / Dr. Lichtlé
Dr. Chatot / Dr. Guth
Horaires
Lundi - Vendredi : 8h30 - 12h et 13h - 18h
Fermé le Jeudi et le Samedi











