Docteur Pierre-Jean Lichtlé
Dentisterie esthétique et soins personnalisés,
pour un sourire qui vous ressemble.
Diplômé de la Faculté de Chirurgie-Dentaire de Strasbourg
DU Implantologie Orale Dijon
CES Parodontologie Strasbourg
Certification Invisalign Paris
Cycle I La dentisterie adhésive esthétique GRF Paris

"Un sourire harmonieux est le reflet d’un équilibre entre santé, fonction et beauté."
Consultation
Une évaluation approfondie pour comprendre vos besoins et attentes en matière de dentisterie.
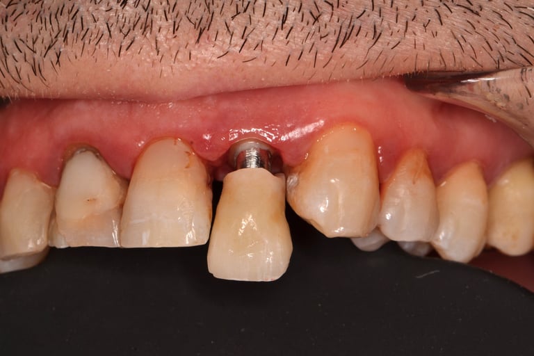
Ma démarche est tournée vers la préservation des tissus dentaires, pour que vous puissiez conserver vos précieuses dents le plus longtemps possible.
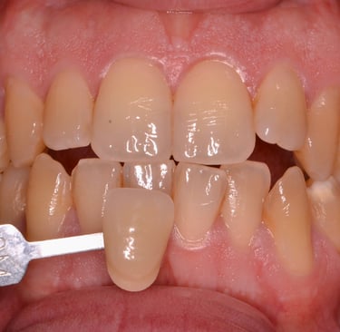
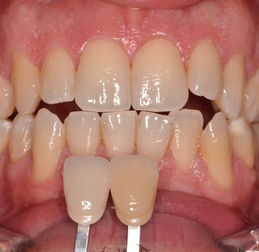
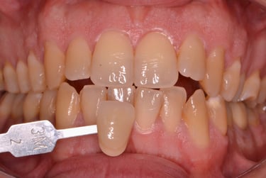
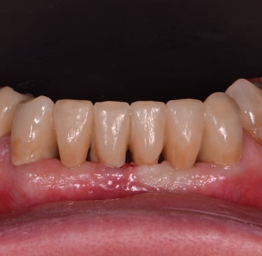
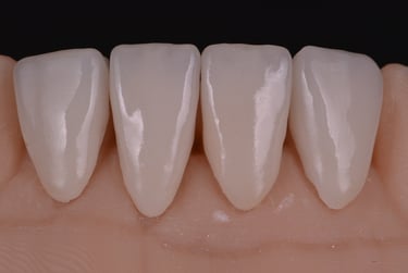
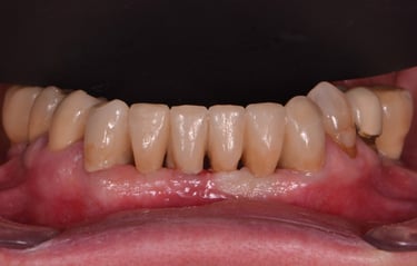
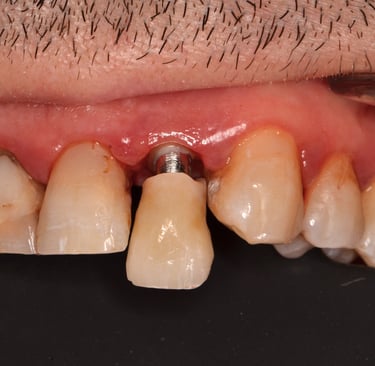
Photographie clinique - Dr. Lichtlé
L'art du sourire sur mesure.







